Skip to content
Home
Contact Us
Home
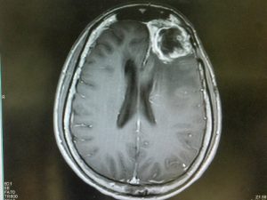
Combined Approach to Glioblastoma Treatment
Posted on
March 29, 2019
February 16, 2022
Less than
0
min read
No Comments
Leave a comment
Cancel
Comments to:
Combined Approach to Glioblastoma Treatment
Cancel reply
Your email address will not be published.
Required fields are marked
*
Post comment
Loading
Δ
No Comments
Leave a comment Cancel