Dental implants are becoming more and more popular, especially for individuals who have have had dental concerns impacting one tooth or teeth that aren’t close together. While in the past the only choice might have been a clunky partial denture, dental implants allow users to live a very normal, functional life.
The procedure is slightly complicated but to you, as the patient, will only require some patience. The end result will bring you a better appearance, more comfort, an easier time eating the foods you love, and better overall health. They’re also a lot more durable than dentures, so you’ll have less to worry about in terms of breakage or adjustments.
Who Qualifies for Dental Implants?
Unfortunately, not everyone qualifies for dental implants. If you have any form of gum disease, for example, you may not be eligible – or you may have to wait for a later time. You also can’t get an implant if you have a condition that’s impacted the amount of jaw bone you have available. Those who have poor oral hygiene, those who smoke, or those who have heart conditions and other uncontrolled medical issues are also excluded. Some people simply need individual attention to ensure they’ll be prepared to care for their implants moving forward.
What’s Involved in the Dental Implant Process?

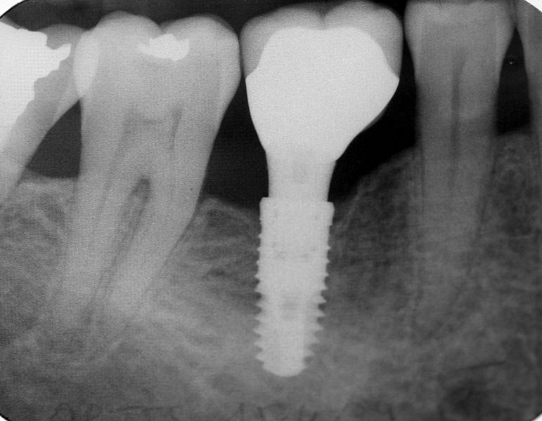
Your dentist will work very closely with you to create an overall treatment plan. The first step is to put the root of the dental implant into the place where your missing tooth was. Your jaw and gums will heal around the implant over the course of 2-3 months.
This procedure can be done in one or two stages, depending on how much gum and bone damage you have. In the one-stage procedure, you receive a healing cap to cover the space while the bone heals. After you’re healed, you get your permanent cap or crown.
The two-stage procedure is normally performed when a person need a bone graft or regeneration work. When this happens, you end up with stitches to close the gum so that the bone can heal. Then you come back for a 2nd trip to have an incision made into the gum line again. Once the gum heals, you can move on to the permanent crown.
Once your jaw is healed, your dentist will make an impression of your mouth so that your new crown matches your other teeth as closely as possible. Once finished, you’ll look and feel as though you have a permanent tooth in your mouth.
As for pain, most people report there is very little need for anything other than a local anesthetic. The entire procedure is supposedly no more painful than having a tooth pulled. How you feel about extractions, or your own pain tolerance level, will guide you in the conversations you have with your dentist about pain.
The dental implant procedure is now very common and there are very few, if any, complications. Talk to your dentist about all of your concerns and you’ll walk out of the office feeling like a new person!


No Comments
Leave a comment Cancel